Maintenance: The Key to Successful Periodontal and Implant Therapy

Pamela K. McClain, DDS

December 2014 Course - Expires Saturday, September 30th, 2017

American Academy of Periodontology

Abstract

The management of periodontal diseases requires an effective treatment and maintenance program, as well as collaboration among clinicians. Having a better understanding of the factors contributing to periodontal maintenance is key. The components of a maintenance program and determining proper intervals ensure that patients increase their chances for maintaining their teeth and implants in an optimal state of health.

You must be signed in to read the rest of this article.

Login Sign Up

Registration on CDEWorld is free. You may also login to CDEWorld with your DentalAegis.com account.

According to a 2009 to 2010 study conducted by the Centers for Disease Control and Prevention, 47.2% of American adults suffer from periodontitis.1 With the increasing prevalence of periodontitis, clinicians are faced with the responsibility of treating and maintaining more patients with this chronic disease. Compared to gingivitis or peri-implant mucositis, which are reversible inflammatory conditions without bone loss, periodontitis and peri-implantitis result in progressive bone loss and tissue destruction.2,3 Periodontal disease requires lifelong treatment and management. Treatment of periodontitis typically starts with non-surgical scaling and root planing. However, moderate to severe periodontitis is often managed best with periodontal surgery, depending on multiple patient and case factors.

With the increase in the number of implants being placed, there has also been an increase in the amount of peri-implant disease. The prevalence of peri-implantitis (ie, bone loss around implants) ranges from 9.6% to 47% of implants.4,5 Management of peri-implantitis has not yet been well established and can be difficult to treat. A number of different risk factors have been associated with the onset of peri-implantitis, including periodontitis, smoking, diabetes, residual cement, and others.

Successful management of periodontal disease creates an environment conducive to long-term management by the patient and dental team. The goal of treatment is to achieve and maintain the oral cavity in a state of optimal health, function, comfort, and esthetics throughout the patient’s lifetime.

Defining Maintenance

Periodontal maintenance therapy is defined as those procedures that follow active periodontal treatment and assist the patient in maintaining oral health. Designed to be performed at intervals appropriate for each specific individual, periodontal maintenance therapy includes a variety of procedures. Becker et al6 found that periodontal therapy without maintenance was of little to no value in terms of restoring periodontal health. Studies conducted by Hirschfeld et al7 and Axelsson et al8 found that effectively planned and executed periodontal treatment programs with long-term maintenance therapy controlled disease progression and preserved the dentition of most patients. Patients with dental implants also benefit from an effective maintenance program. Fardal et al9 looked at 43 periodontal patients with implants over a minimum of 7 years. Progressive disease was present around 31% of the individual implant sites (ie, peri-implantitis), while only 7% of the teeth exhibited progressive periodontitis. Additionally, this study demonstrated that the cost of managing peri-implantitis was five times higher than the cost of treating the teeth that had progressive periodontitis.

Costa et al10 examined 212 patients who had implants placed and found that 80 of those patients at baseline presented with peri-mucositis, or inflammation and bleeding on probing, but no bone loss. After 5 years, 31% of those patients with peri-mucositis had developed peri-implantitis, or bone loss around the implants. Upon closer examination of the patients with peri-mucositis who had regular maintenance therapy, 18% developed peri-implantitis. However, of the patients who had no maintenance therapy, 44% developed peri-implantitis. This study reinforces the importance of maintenance therapy for patients with dental implants.

Used interchangeably, periodontal maintenance, periodontal maintenance therapy, maintenance therapy, and supportive periodontal care represent the same maintenance approach. However, according to the American Academy of Periodontology Position Paper published in 2003, periodontal maintenance is the preferred term.11 Although periodontal maintenance has a variety of synonyms, it is not synonymous with prophylaxis, recall, re-care, or prophy, which are different procedures and do not follow active periodontal therapy. Periodontal maintenance is also not a substitute for active therapy and is inadequate to alter the subgingival flora, eliminate persistent signs of disease,12 or control the disease when there is bleeding on probing.

The therapeutic goals of periodontal maintenance include prevention of disease recurrence, prevention or reduction of tooth/implant loss, and identification and treatment of other conditions or diseases in the mouth in a timely manner. 11

Factors Contributing to Maintenance Success

Since periodontal maintenance follows active therapy, the goal of that treatment should be aimed at helping the patient and therapist long-term. There are a number of factors that may contribute to facilitating periodontal maintenance for the patient and dental team (Table 1). Minimal probing depths, adequate bands of keratinized tissue, minimal recession, absence of furcation defects, lack of inflammation, effective plaque control, and favorable tooth position influence periodontal health and are goals of active therapy. These components are all part of a comprehensive periodontal evaluation (CPE)13 and provide the baseline data to monitor maintenance success and offer insight into whether additional treatment is necessary.

Probing Depths and Inflammation

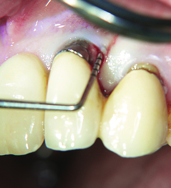
Following active therapy, probing depths of 4 mm or less (Figure 1 and Figure 2) and the absence of bleeding on probing contribute to improved health and stability. Increasing probing depths should alert the therapist to identify etiology and determine whether active periodontal therapy is warranted. The absence of bleeding on probing is a strong predictor of stability, and although the presence of bleeding does not always result in attachment loss, it remains an important parameter to evaluate.14 Bleeding on probing is also an important parameter for assessing implant health during maintenance. Serino et al15 evaluated 27 patients with 19 dental implants over 5 years. Patients were seen every 6 months and they concluded that bleeding on probing was a good predictor for attachment loss and disease progression around the implants (Figure 3).

Keratinized Tissue

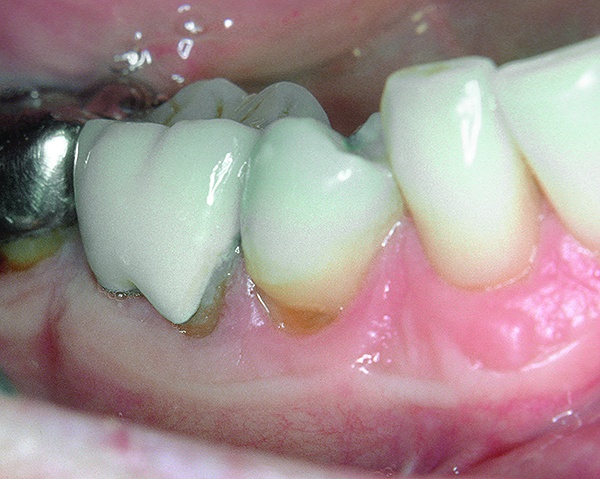
The presence of keratinized tissue around teeth and implants and its role in periodontal maintenance is somewhat controversial. It has been suggested that 2 mm of keratinized tissue is important to maintain gingival health around teeth.16 Minimal recession also facilitates maintenance by the therapist and plaque control by the patient (Figure 4 and Figure 5). Keratinized tissue around implants is also important. Chung et al17 completed a retrospective study examining the barrier function of keratinized tissue around dental implants. They examined 339 endosseous dental implants in place for at least 3 years in 69 patients and found that when an adequate band of keratinized tissue was present, less inflammation and plaque accumulation occurred (Figure 6 and Figure 7). Although there was no correlation to bone loss, there was improved comfort while cleaning the sites with keratinized tissue versus those areas that lacked keratinized tissue.

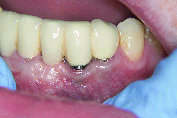
Geurs et al18 also found that establishing a soft-tissue barrier sheltered the underlying osseous structures and the osseointegration around the implant body. Kim et al19 conducted a study with 276 implants placed in 100 patients and demonstrated that cases with insufficient keratinized gingiva near the implants showed increased risk of gingival recession (Figure 8) and crestal bone loss. It is critical that keratinized tissue be evaluated around both teeth and implants, and when there is an insufficient amount, treatment should be considered to increase the thickness and overall health.

Intact Furcations

One of the most challenging problems in periodontal therapy is effectively managing teeth with Class II or III furcation involvement. Hirschfeld et al7 observed that teeth with furcation involvement exhibited a higher rate of tooth loss (31%) as compared to teeth that did not have furcation defects (7%) over a period of at least 15 years. Additional studies have shown that in multi-rooted teeth, sites with furcation defects respond less favorably to non-surgical therapy, as compared to sites that do not have furcation involvement.20,21

Periodontal regeneration to reverse bone loss can be used successfully in certain Class II furcation defects to eliminate the furcation bone loss or reduce the involvement to a Class I defect, creating an environment more conducive to long-term stability and maintenance (Figure 9 and Figure 10).22-25 Identifying furcation involvement and intervening with early treatment can enhance the long-term prognosis.26

Plaque Control and Inflammation

Optimal personal oral hygiene has been shown to limit or prevent recurrent periodontitis. Conversely, the presence of inflammation and calculus has been shown to be associated with increased attachment loss over time.27 Effective periodontal maintenance must include atraumatic and effective plaque control by the patient. Kwon et al28 suggest that clinicians should continually educate patients about the pathophysiology of their disease to encourage active participation in maintenance by mechanically removing dental plaque at home.

Components of Maintenance Program Visits

Assessment

The components of an effective periodontal maintenance program begin with an assessment that mimics the comprehensive periodontal evaluation.13 This includes updating medical and dental histories, as well as evaluating the patient’s risk factors (Table 2). A comprehensive extraoral and intraoral clinical examination follows, along with the dental (eg, restorative concerns, proximal contacts, etc.) and periodontal assessment. The periodontal/implant evaluation includes measuring probing depths, the width of keratinized tissue, recession, furcation involvement, and gingival health (ie, bleeding on probing and suppuration) compared to the baseline. The therapist should evaluate the occlusion (mobility, discrepancies, fremitus, etc.) and determine the need for radiographs.

A series of full-mouth diagnostic radiographs that visualize each tooth or implant are critical as a baseline (Figure 11). The frequency and type of radiographs needed at maintenance depends on the severity of periodontal disease, as well as the extent of restorative treatment and caries susceptibility. With more advanced periodontal disease and restorative concerns, more frequent radiographs may be indicated. Vertical bitewing radiographs provide a better view of osseous crest levels and should be considered over horizontal bitewing radiographs for periodontal cases (Figure 12).

Another critical component of the maintenance visit is a review of the patient’s plaque control efficacy and providing oral hygiene instruction as necessary. Treatment is aimed at removal of the bacterial deposits from the crevicular and pocket areas. This often includes polishing of the teeth and the use of ultrasonic and hand instruments for scaling and root planing, where indicated. Special instruments are necessary around implants to avoid scratching or altering the implant surface.

Since periodontal maintenance is a constant evaluation, it is important to determine whether additional active treatment is warranted. When changes occur, the patient may need additional non-surgical or surgical intervention and should be managed or referred when indicated.

Establishing Maintenance Intervals

The typical maintenance visit takes about 1 hour29 and is often performed at 3-month intervals.11 However, the appropriate interval for a patient depends on the nature and extent of his/her periodontal problems. A patient with early to moderate periodontitis who has been successfully treated and demonstrates effective and consistent plaque control may have longer intervals between visits (3 to 4 months). In contrast, a patient with aggressive or advanced periodontitis or even early to moderate disease with complex restorative concerns will require more frequent intervals (2 to 3 months). The nature of the original periodontal concern and treatment performed (eg, gingival augmentation versus regenerative therapy) also affects the interval length. Patients who have undergone extensive periodontal therapy require closer supervision. In addition to the treatment performed, the patient’s response to therapy and his/her ability to effectively control plaque impact the interval period. Rate of calculus formation, presence of inflammation, bleeding on probing, and other components also influence the time between maintenance visits.

Another area to consider is where periodontal maintenance is performed. Patients who have had minimal periodontal involvement (eg, localized gingival augmentation or early periodontitis), may be managed by a restorative dentist, especially if there are concerns with caries susceptibility. For patients who have been treated for early to moderate periodontal disease, an alternating maintenance program between a periodontist and restorative dentist offers an excellent way to monitor the patient’s needs and minimize oversight. Patients with advanced or aggressive disease or who have had extensive periodontal therapy (eg, regenerative therapy) are often best managed by a periodontist for maintenance but seen by the restorative dentist for regular examinations. Whether patients alternate between their restorative dentist and periodontist, or see only the periodontist or restorative dentist, it is important that information is communicated about the patient. This includes sharing radiographs and clinical information about the patient’s status and whether treatment (restorative or periodontal) is warranted.

Conclusion

Successful periodontal maintenance depends on many factors. Effective communication and collaboration is critical to ensure that patients receive the best care possible. Periodontitis is a widely prevalent disease, and the need for understanding not only proper treatment, but also the ideal maintenance program, is essential to long-term stability and health. Understanding the factors that influence periodontal maintenance ensures that patients receive the most updated treatment, maintenance program, and education to manage their periodontal condition for life.

ABOUT THE AUTHOR

Pamela K. McClain, DDS
Private practice specializing in periodontics, Aurora, Colorado

Queries to the author regarding this course may be submitted to authorqueries@aegiscomm.com

REFERENCES

1. Eke PI, Dye BA, Wei L, et al. Prevalence of periodontitis in adults in the United States: 2009 and 2010. J Dent Res. 2012;91(10):914-920.

2. Armitage GC, Research, Science and Therapy Committee of the American Academy of Periodontology. Diagnosis of periodontal diseases. J Periodontol. 2003;74(8):1237-1247.

3. Froum SJ, Rosen PS. A proposed classification for peri-implantitis. Int J Periodontics Restorative Dent. 2012;32(5):533-40.

4. Atieh MA, Alsabeeha NH, Faggion CM Jr, Duncan WJ. The frequency of peri-implant disease: a systematic review and meta-analysis. J Periodontol. 2013;84(11):1586-1598.

5. Koldsland OC, Scheie AA, Aass AM. Prevalence of peri-implantitis related to severity of the disease with different degrees of bone loss. J Periodontol. 2010;81(2): 231-238.

6. Becker W, Becker BE, Berg LE. Periodontal treatment without maintenance. A retrospective study in 44 patients. J Periodontol. 1984;55(9):505-509.

7. Hirschfeld L, Wasserman B. A long-term survey of tooth loss in 600 treated periodontal patients. J Periodontol. 1978;49(5):225-237.

8. Axelsson P, Nyström B, Lindhe J. The long-term effect of a plaque control program on tooth mortality, caries and periodontal disease in adults. Results after 30 years of maintenance. J Clin Periodontol. 2004;31(9):749-757.

9. Fardal, Grytten J. A comparison of teeth and implants during maintenance therapy in terms of the number of disease-free years and costs — an in vivo internal control study. J Clin Periodontol. 2013;40(6):645-651.

10. Costa FO, Takenaka-Martinez S, Cota LO, et al. Peri-implant disease in subjects with and without preventive maintenance: a 5-year follow-up. J Clin Periodontol. 2012;39(2):173-181.

11. Cohen RE, Research, Science and Therapy Committee, American Academy of Periodontology. Position paper: periodontal maintenance. J Periodontol. 2003;74(9):1395-1401.

12. Slots J. Subgingival microflora and periodontal disease. J Clin Periodontol. 1979;6(5):351-382.

13. American Academy of Periodontology. Comprehensive periodontal therapy: a statement by the American Academy of Periodontology. J Periodontol. 2011;82(7):943-949.

14. Lang NP, Joss A, Orsanic T, et al. Bleeding on probing. A predictor for the progression of periodontal disease? J Clin Periodontol. 1986;13(6):590-596.

15. Serino G, Turri A, Lang NP. Maintenance therapy in patients following the surgical treatment of peri-implantitis: a 5-year follow-up study. Clin Oral Implants Res. 2014. Doi:10.1111/clr.12418. [Epub ahead of print].

16. Lang NP, Löe H. The relationship between the width of keratinized gingiva and gingival health. J Periodontol. 1972;43(10):623-627.

17. Chung DM, Oh TJ, Shotwell JL, et al. Significance of keratinized mucosa in maintenance of dental implants with different surfaces. J Periodontol. 2006;77(8):1410-1420.

18. Geurs NC, Vassilopoulos PJ, Reddy MS. Soft tissue considerations in implant site development. Oral Maxillofac Surg Clin North Am. 2010;22(3):387-405.

19. Kim BS, Kim YK, Yun PY, et al. Evaluation of peri-implant tissue response according to the presence of keratinized mucosa. Oral Surg Oral Med Oral Pathol Oral Radiol Endod. 2009;107(3):e34-e38.

20. Nordland P, Garrett S, Kiger R, et al. The effect of plaque control and root debridement in molar teeth. J Clin Periodontol. 1987;14(4):231-236.

21. Claffey N, Egelberg J. Clinical characteristics of periodontal sites with probing attachment loss following initial periodontal treatment. J Clin Periodontol. 1994;21(10):670-679.

22. McClain PK, Schallhorn RG. Long-term assessment of combined osseous composite grafting, root conditioning, and guided tissue regeneration. Int J Periodontics Restorative Dent. 1993;13(1):9-27.

23. Jepsen S, Eberhard J, Herrera D, Needleman I. A systematic review of guided tissue regeneration for periodontal furcation defects. What is the effect of guided tissue regeneration compared with surgical debridement in the treatment of furcation defects? J Clin Periodontol. 2002;29 Suppl 3:103-16; discussion 160-162.

24. Murphy KG, Gunsolley JC. Guided tissue regeneration for the treatment of periodontal intrabony and furcation defects. A systematic review. Ann Periodontol. 2003;8(1):266-302.

25. Reynolds MA, Aichelmann-Reidy ME, Branch-Mays GL, Gunsolley JC. The efficacy of bone replacement grafts in the treatment of periodontal osseous defects. A systematic review. Ann Periodontol. 2003;8(1):227-265.

26. Bowers GM, Schallhorn RG, McClain PK, et al. Factors influencing the outcome of regenerative therapy in mandibular Class II furcations: Part I. J Periodontol. 2003;74(9):1255-1268.

27. Neely AL, Holford TR, Löe H, et al. The natural history of periodontal disease in man. Risk factors for progression of attachment loss in individuals receiving no oral health care. J Periodontol. 2001;72(8):1006-1015.

28. Kwon T, Levin L. Cause-related therapy: a review and suggested guidelines. Quintessence Int. 2014;45(7):585-591.

29. Schallhorn RG, Snider LE. Periodontal maintenance therapy. J Am Dent Assoc. 1981;103(2):227-231.

Fig 1. A deep pocket of 7 mm prior to active periodontal therapy.

Figure 1

Fig 2. Following periodontal regenerative therapy, the tooth with a 3-mm probing depth, which facilitates maintenance.

Figure 2

Fig 3. Bleeding on probing and increasing pocket depths around implant sites indicates a need for treatment.

Figure 3

Fig 4. Severe recession visible on teeth Nos. 29 and 30.

Figure 4

Fig 5. Teeth Nos. 29 and 30 following connective tissue grafting showing minimal recession and improved tissue health.

Figure 5

Fig 7. Close-up view of the No. 23 implant-supported restoration showing inflammation surrounding the site (this area had not been grafted).

Figure 7

Fig 8. The implant on No. 23 4 years later with no maintenance care, showing increased inflammation and recession.

Figure 8

Fig 9. X-ray shows bone loss on the distal aspect and in the area of the furcation of tooth No. 31.

Figure 9

Fig 10. Postoperative x-ray depicts bone fill of the defect 2 years after regenerative therapy.

Figure 10

Fig 11. Full-mouth series of radiographs.

Figure 11

Fig 12. Vertical bitewing radiographs.

Figure 12

Table 1

CREDITS: 0
AGD CODE: 490 - Non-Surgical Therapeutic Management of Periodontal Disease
COST: $0
PROVIDER: Conexiant Education
SOURCE: Compendium of Continuing Education in Dentistry | September 2014

Learning Objectives:

  • List the factors that facilitateperiodontal maintenance
  • Discuss the importance of periodontal maintenance in periodontal therapy
  • Describe the components of a periodontal maintenance visit and differentiate maintenance intervals needs

Disclosures:

The author reports no conflicts of interest associated with this work.

Queries for the author may be directed to justin.romano@broadcastmed.com.